Lateral Thoracic Expansion is applied for the treatment of thoracic dystrophies (the most common among them is jeune syndrome) and other small rib cage deformities (for example, when rib anomaly accompanies another component of Poland’s Syndrome, other than the absence of classical chest muscle, the rib cage may remain small). With a vertical incision from the side at the armpit level, the rib cage is expanded from the sides by reaching from the 4th rib to the 9th rib and making a connection between the ribs in a different way.

Lateral Thoracic Expansion Technique

The purpose of this surgery is to widen the thoracic cage, making room for the patient’s heart and lungs to grow, and thereby enabling the patient to continue his or her life. By applying the same operation to the opposite side within 6 months or 1 year, asymmetry is prevented and the lung on the opposite side can find a place to expand.

An 8-year-old patient with Jeune Syndrome was discharged pain-free and very happy on the 5th day of the surgery.
In this surgery, since we do not leave the expansion to screws and plates, and we apply it by combining bones in different formations, bone formation can continue over the years as the patient grows, and the thorax can expand as well, and strength is ensured by refilling that area with the bone tissues that the patient will create in that area. Thus, various complications do not occur with the dislocation of foreign objects such as screws and plates.
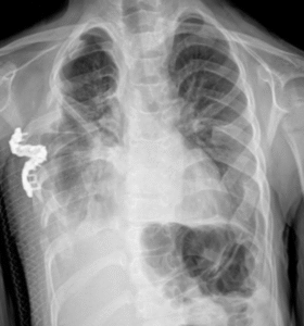
You observe how the right lung expands compared to the left side of the lung (operated side) on the lung X-ray graph of the patient whose right half of the thorax was expanded by applying lateral thoracic expansion.






